
S E R V I C I O S
Terapias Nucleares
Las terapias nucleares utilizan radiofármacos especializados para tratar ciertos tipos de cáncer de forma dirigida y precisa. A diferencia de la radioterapia externa, estos tratamientos actúan desde el interior del cuerpo, concentrándose en las células enfermas mientras preservan el tejido sano. En Sononuclear, ofrecemos acceso a terapias avanzadas como Pluvicto y Lutathera, que representan lo más reciente en medicina nuclear terapéutica.
Pluvicto
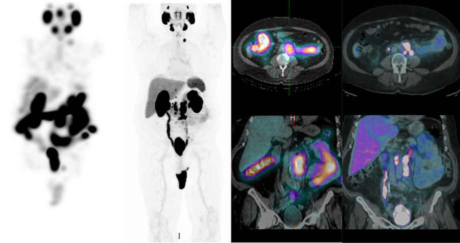
Pluvicto es una terapia innovadora de medicina nuclear indicada para pacientes con cáncer de próstata metastásico resistente a la castración (mCRPC). Utiliza Lutecio-177 unido a PSMA, un marcador presente en las células cancerosas de próstata, para administrar radiación de forma precisa directamente al tumor.
Con Pluvicto, se logra:
Atacar selectivamente las células cancerígenas sin dañar en gran medida los tejidos sanos
Reducir la carga tumoral y controlar la progresión del cáncer
Ofrecer una opción terapéutica avanzada para pacientes que ya han recibido otros tratamientos

Lutathera

Lutathera es una terapia con radionúclidos dirigida al tratamiento de tumores neuroendocrinos (TNE) del tracto gastrointestinal y páncreas. Combina Lutecio-177 con DOTATATE, que se une a los receptores de somatostatina presentes en este tipo de tumores, permitiendo administrar radiación precisa para destruir células tumorales.
Con Lutathera se consigue:
Mejor control de los tumores neuroendocrinos avanzados
Aumento en la supervivencia y mejoría de la calidad de vida
Tratamiento eficaz cuando otras opciones ya no son suficientes