
S E R V I C I O S
PET/CT
El estudio PET/CT es una prueba de medicina nuclear no invasiva que genera imágenes tridimensionales del cuerpo. Permite identificar cambios anormales en el metabolismo de las células, lo que ayuda a detectar enfermedades en etapas tempranas.
PET/CT Estándar – Cuerpo Completo con FDG
La tomografía por emisión de positrones (PET/CT) es un estudio de medicina nuclear no invasivo que produce imágenes tridimensionales que pueden identificar cambios anormales en el metabolismo celular.
Usos comunes de la PET/CT
Evaluación del cuerpo del paciente para identificar lesiones cancerosas y metástasis.
Evaluación de la respuesta al tratamiento.
Detección de tumores recurrentes o residuales antes de la cirugía o tratamientos adicionales (como quimioterapia y radioterapia).

PET/CT con PSMA

El PET/CT con PSMA es un estudio de imagen especializado para la detección del cáncer de próstata. Utiliza un radiofármaco que se adhiere al Antígeno de Membrana Específico de Próstata (PSMA), una proteína que se encuentra en niveles elevados en las células de este tipo de cáncer. Gracias a esta tecnología, los médicos pueden:
Localizar el cáncer de próstata con una precisión superior
Detectar recurrencias o metástasis en etapas muy tempranas
Optimizar el plan de tratamiento, ya sea cirugía, radioterapia o terapias dirigidas
PET/CT con Dotatate

El PET/CT con DOTATATE es un estudio de imagen altamente especializado diseñado para detectar y evaluar tumores neuroendocrinos. Utiliza un radiofármaco que se une específicamente a los receptores de somatostatina presentes en estos tumores, ofreciendo una claridad superior en comparación con estudios convencionales. Esto permite a los médicos:
Identificar con precisión la ubicación y el tamaño del tumor
Detectar metástasis que pueden pasar desapercibidas en otros métodos de imagen
Guiar planes de tratamiento personalizados, incluyendo cirugía o terapia dirigida
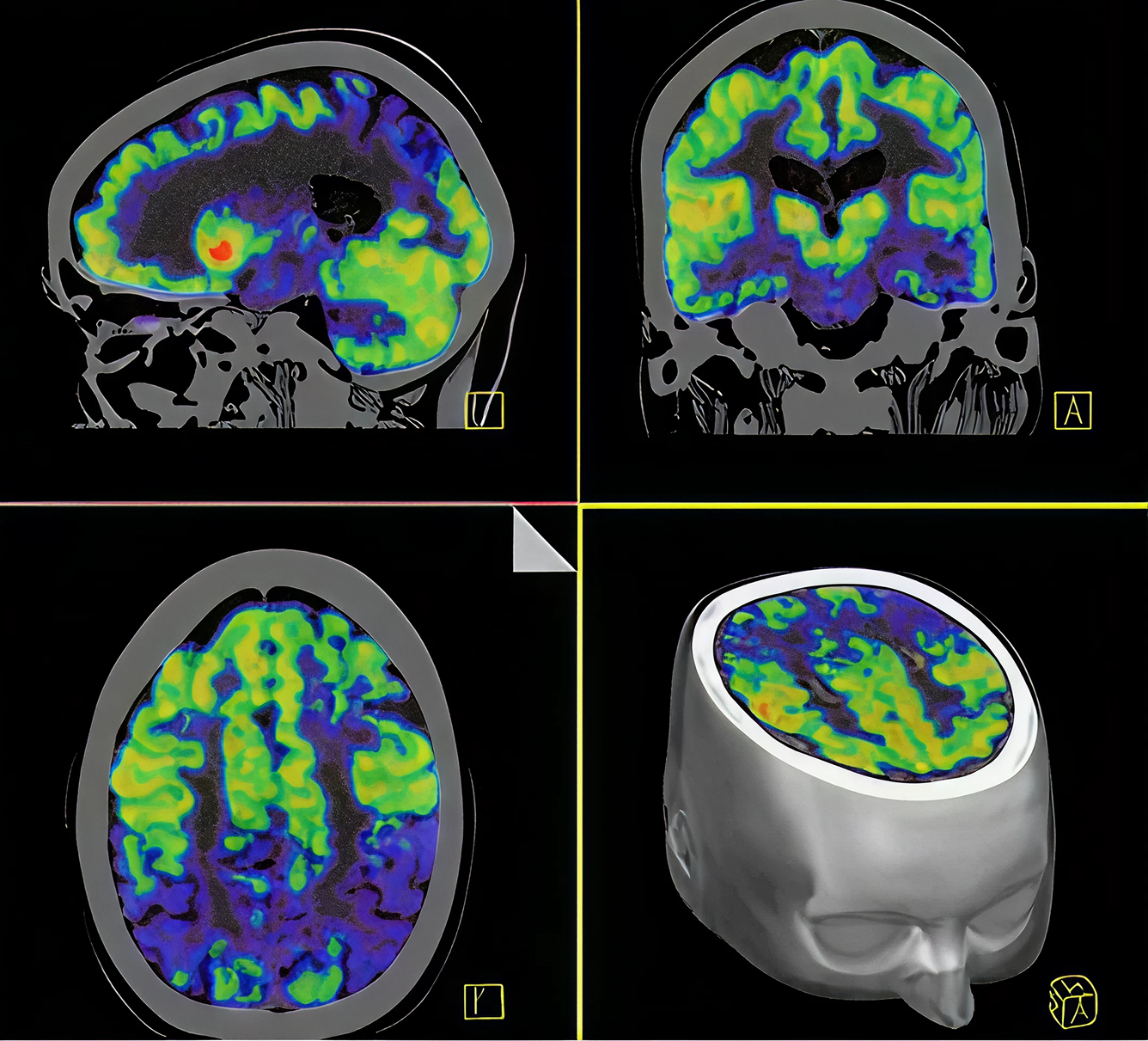
PET/CT Brain

Una tomografía de emisión de positrones de el cerebro es un análisis de imágenes tridimensionales tomadas al cerebro. En este se utiliza un marcador radioactivo para hallar algún tipo de enfermedad o daño al cerebro.
Usos y Beneficios del PET/CT del Cerebro
Un estudio PET/CT del Cerebro puede determinar como el cerebro y sus tejidos están funcionando. Otros exámenes como MRI o CT scan solo revelan la estructura cerebral.
Evaluar el cuerpo del paciente para detectar lesiones cancerosas y metástasis
Ayuda a monitorear la respuesta al tratamiento
Detectar tumores recurrentes o residuales previo a exploración quirúrgica y quimioterapia